Tại sao răng bị xỉn đen là câu hỏi khiến nhiều người lo lắng khi nhận thấy hàm răng ngày càng sẫm màu, xuất hiện các đốm đen kém thẩm mỹ. Tình trạng này không chỉ ảnh hưởng đến ngoại hình, sự tự tin khi giao tiếp mà rất có thể là dấu hiệu cảnh báo các vấn đề răng miệng tiềm ẩn. Việc hiểu rõ nguyên nhân khiến răng bị xỉn đen sẽ giúp bạn chủ động phòng ngừa, cải thiện màu răng đúng cách và bảo vệ sức khỏe răng miệng lâu dài.
Bạn đã biết tại sao răng bị xỉn đen chưa?
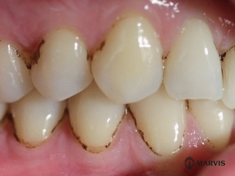
Răng xỉn đen là tình trạng răng dần mất đi màu trắng tự nhiên, xuất hiện các đốm đen, mảng sẫm màu hoặc viền chân răng thâm đen rõ rệt. Hiện tượng này không xảy ra đột ngột mà tiến triển âm thầm theo thời gian, khiến nhiều người chủ quan cho đến khi màu răng thay đổi rõ ràng, ảnh hưởng lớn đến thẩm mỹ và sự tự tin khi giao tiếp.
Về cấu tạo, răng được bao bọc bởi lớp men răng giàu canxi có màu trắng ngà. Khi lớp men này bị tổn thương hoặc suy yếu, các tác nhân bên ngoài và bên trong sẽ dễ dàng xâm nhập, làm răng đổi màu và dần chuyển sang xỉn đen.

Nguyên nhân từ bên ngoài
Phần lớn các trường hợp răng xỉn đen bắt nguồn từ thói quen sinh hoạt và chăm sóc răng miệng hàng ngày. Khi men răng bị mài mòn hoặc không được làm sạch đúng cách, các mảng màu sẫm sẽ có điều kiện bám chặt và lan rộng trên bề mặt răng.
Một số tác nhân phổ biến gồm:
- Mảng bám và cao răng tích tụ lâu ngày không được lấy sạch.
- Hút thuốc lá khiến nicotine và hắc ín bám vào men răng, gây đen răng rõ rệt.
- Thường xuyên sử dụng thực phẩm, đồ uống sẫm màu như cà phê, trà đặc, nước ngọt có màu, rượu vang.
- Dùng kem đánh răng, nước súc miệng kém chất lượng hoặc chứa chất mài mòn mạnh.
- Vật liệu trám răng chứa bạc sulfide có thể làm răng bị xám đen theo thời gian.
>>> Xem thêm: Răng bị ố vàng phải làm sao? TOP 3 giải pháp HÀNG ĐẦU
Nguyên nhân bên trong
Không chỉ yếu tố bên ngoài, nhiều trường hợp răng xỉn đen xuất phát từ các vấn đề bệnh lý hoặc rối loạn bên trong răng:
- Biến chứng của bệnh răng miệng: Sâu răng, viêm nướu, viêm nha chu nếu không điều trị sớm.
- Răng chết tủy: Khi tủy răng bị viêm, nhiễm trùng hoặc hoại tử, các sản phẩm phân hủy trong tủy sẽ thấm vào ống ngà, khiến răng đổi màu từ xám sẫm đến đen.
- Nhiễm fluor: Việc hấp thụ fluor quá mức từ nước sinh hoạt hoặc kem đánh răng có thể làm men răng bị tổn thương, xuất hiện các mảng trắng đục, nâu hoặc đen.
- Tác dụng phụ của thuốc: Một số loại kháng sinh, thuốc dạng siro, hoặc quá trình xạ trị, hóa trị có thể ảnh hưởng trực tiếp đến màu sắc răng, khiến răng sậm màu hơn theo thời gian.
Răng bị xỉn đen không chỉ là vấn đề thẩm mỹ mà còn có thể là dấu hiệu cảnh báo các bệnh lý răng miệng tiềm ẩn. Việc xác định đúng nguyên nhân khiến răng xỉn đen sẽ giúp bạn lựa chọn phương pháp điều trị và chăm sóc răng phù hợp, từ làm sạch cao răng, thay đổi thói quen sinh hoạt đến can thiệp nha khoa chuyên sâu. Chủ động bảo vệ men răng ngay từ sớm chính là chìa khóa giúp duy trì hàm răng trắng sáng và khỏe mạnh lâu dài.
>>> Xem thêm: Cách làm trắng răng hiệu quả tại nhà: 2 phương pháp TỐT NHẤT
Biện pháp cải thiện và phòng ngừa tình trạng răng xỉn đen?
Khi răng xuất hiện tình trạng xỉn đen, ố màu do mảng bám, cà phê, trà hay thuốc lá, nhiều người băn khoăn răng xỉn đen nên dùng kem đánh răng gì để cải thiện mà không làm tổn thương men răng. Trên thực tế, với những trường hợp xỉn màu nhẹ đến trung bình, việc lựa chọn kem đánh răng phù hợp có thể giúp răng sáng dần lên rõ rệt nếu sử dụng đều đặn.

Một trong những lựa chọn được đánh giá cao hiện nay là kem đánh răng Marvis Whitening Mint (màu bạc). Sản phẩm nổi bật với công thức làm sạch và làm trắng nhẹ nhàng, giúp cải thiện tình trạng răng xỉn đen mà vẫn đảm bảo an toàn cho men răng và nướu.
Kem đánh răng Marvis màu bạc chứa Silica và Aluminum Hydroxide – hai hoạt chất có khả năng loại bỏ những mảng bám và vết ố trên bề mặt răng một cách từ từ, không gây mài mòn mạnh như các phương pháp tẩy trắng cấp tốc. Nhờ đó, răng sẽ sáng dần theo thời gian mà vẫn giữ được độ chắc khỏe tự nhiên.
Đặc biệt, sản phẩm rất phù hợp với những người có răng nhạy cảm, răng sứ hoặc đang tìm giải pháp duy trì độ trắng sáng lâu dài, thay vì tẩy trắng quá mạnh dễ gây ê buốt.
Người dùng cần lưu ý rằng kem đánh răng làm trắng chỉ phát huy hiệu quả tối ưu khi kết hợp với thói quen chăm sóc răng miệng đúng cách: đánh răng đều đặn 2 lần/ngày, hạn chế thực phẩm sẫm màu và tái khám nha khoa định kỳ. Với các vết xỉn đen nặng do bệnh lý răng miệng, bạn nên tham khảo ý kiến nha sĩ để có hướng điều trị phù hợp hơn.
>>> Xem thêm: Làm trắng răng bằng chanh và kem đánh răng ĐƠN GIẢN, HIỆU QUẢ
Kết luận
Tóm lại, tại sao răng bị xỉn đen có thể xuất phát từ nhiều nguyên nhân khác nhau, bao gồm cả thói quen sinh hoạt không lành mạnh, chế độ ăn uống chứa nhiều chất tạo màu, vệ sinh răng miệng kém, hút thuốc lá hoặc các bệnh lý răng miệng như sâu răng, chết tủy, nhiễm fluor. Nếu không được phát hiện và xử lý kịp thời, tình trạng răng xỉn đen có thể ngày càng nghiêm trọng hơn. Vì vậy, bạn nên duy trì thói quen chăm sóc răng miệng đúng cách, lựa chọn kem đánh răng phù hợp, hạn chế các tác nhân gây sẫm màu và thăm khám nha khoa định kỳ để giữ cho hàm răng luôn trắng sáng, khỏe mạnh và tự tin mỗi ngày.
Thông tin liên hệ
CÔNG TY CỔ PHẦN TCR DISTRIBUTING
Địa chỉ: Số 16TM2-C3, Khu đô thị Nam đường Vành đai 3, Xã Thanh Liệt, Huyện Thanh Trì, Thành Phố Hà Nội
SĐT/Hotline: 1900 27 72 90
Email: marvis@tcr.vn
Facebook: https://www.facebook.com/kemdanhrangmarvisvietnam
Tiktok: https://www.tiktok.com/@marvisvietnam
Instagram: https://www.instagram.com/marvisvn/
Youtube: https://www.youtube.com/@MarvisVietnam/featured
